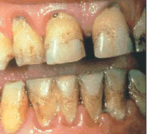
| La santé bucco-dentaire a fait, hier jeudi, l’objet d’une rencontre des représentants de huit pays africains investis contre le noma (une affection défigurant le visage et pouvant provoquer la mort chez les enfants entre deux et six enfants) pour l’élaboration d’un plan triennal de lutte. Selon les experts médicaux, cette pathologie, un problème de santé publique, est le quatrième fléau mondial derrière le paludisme, le sida et les maladies cardiovasculaires. |
| Le directeur général de la santé, Papa Amadou Diack a présidé l’ouverture des travaux pour la mise en place d’un plan triennal de lutte. La traque ou le front contre le noma préoccupe, selon lui, le Sénégal. Cette volonté reste liée aux efforts entrepris dès 2003 pour abriter le premier atelier pour l’élaboration de plans nationaux de lutte contre le noma au niveau de six pays Ouest africains ( Sénégal , Bénin , Burkina Faso, Mali , Niger ), la Guinée-Bissau et la Cote d’ivoire ont rejoint les rangs. Principalement, le Sénégal s’investit dans la promotion des changements de comportements pour l’amélioration de la qualité de vie de l’enfant et sa survie par la prise en charge des maladies de l’enfant, avec sa composante communautaire (pcime-c). Depuis 2011, les mesures préconisées restent le renforcement des capacités relatives à la prévention et la prise en charge des maladies bucco-dentaires comme le noma, à travers la formation des médecins, des sages –femmes et des relais communautaires. Ceci s’étend aussi à la sensibilisation, selon lui, et à la mobilisation autour de ces pathologies dont le noma, par l’organisation d’émissions radiotélévisées. Une volonté d’assurer la coordination des activités du plan d’action et une surveillance sur la supervision par le niveau central. Le rappel des principales affections bucco-dentaires cite les caries, les maladies parodontales, les lésions traumatiques, les cancers et le noma. A en croire le directeur de la santé, les dites pathologies sont source de graves préjudices fonctionnels et sociaux. Ses explications présentent le noma comme une affection mutilante du visage. Cette dernière survient dans la petite enfance entre zéro et six ans. Ses traces remontent dans l’antiquité tout en persistant de nos jours dans les foyers de malnutrition et de pauvreté extrême. Traqué et éradiqué dans les pays développés, le noma continue à faire son œuvre dans les pays à ressources limitées en relation avec une malnutrition sévère, un sevrage précoce et une mauvaise hygiène bucco-dentaire et corporelle. Ses conséquences, selon le directeur général de la santé restent la destruction des tissus osseux du visage. D’autres caractéristiques de la maladie résident dans son évolution foudroyante au bout de quelques jours ou de quelques semaines sans soins, provoque la mort de l’enfant atteint de noma dans 70% à 90 % des cas. Le chiffre de 500 000 enfants touchés par le noma dans le monde est avancé, avec le triste ratio de 80% de morts à l’absence d’une bonne prise en charge et d’une antibiothérapie. La survie à cette maladie présente des séquelles multiples comme les mutilations du visage, les problèmes d’élocution (d’expression orale) et d’alimentation et le blocage des mâchoires. |
Autres articles
-
Variole du singe ou Mpox : l’OIM cherche plus de 11 milliards FCFA
-
Taux de prévalence du Sida : avec un taux de 0, 3% et 900 nouveaux cas le Sénégal cité en exemple
-
Le ministre de la Santé, Ibrahima Sy, préoccupé par la prise en charge des urgences
-
Paludisme : 199 décès sur 7196 cas d’hospitalisation recensés en 2023 (responsable)
-
Maladies non-transmissibles : les experts prédisent 12. 000 nouveaux cas de cancer chaque année au Sénégal




Variole du singe ou Mpox : l’OIM cherche plus de 11 milliards FCFA


