« A travers cette initiative, je souhaite que le Sénégal puisse enfin poser un doigt sur le nombre de personnes atteintes de la polyarthrite Rhumatoïde», explique Dédé Didi qui lance ainsi un appel à toutes les organisations étatiques qui sont en mesure de faire connaitre à la population sénégalaise cette maladie. La Polyarthrite Rhumatoïde est une maladie génétiquement transmissible et plus fréquente chez les femmes que chez les hommes. « Le problème au Sénégal, c’est qu’il n’y a aucune donnée précise sur le pourcentage de la prévalence de la maladie », informe la jeune activiste. « De ce constat est née l’idée de faire cette randonnée un moyen pour faire connaitre la maladie aux Sénégalais et permettre aux malades d’échanger avec des médecins afin de mieux appréhender la Polyarthrite Rhumatoïde » nous explique Dédé.
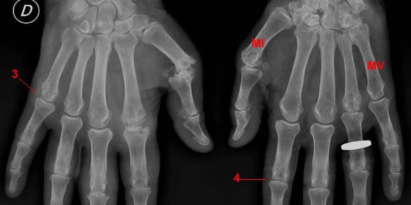
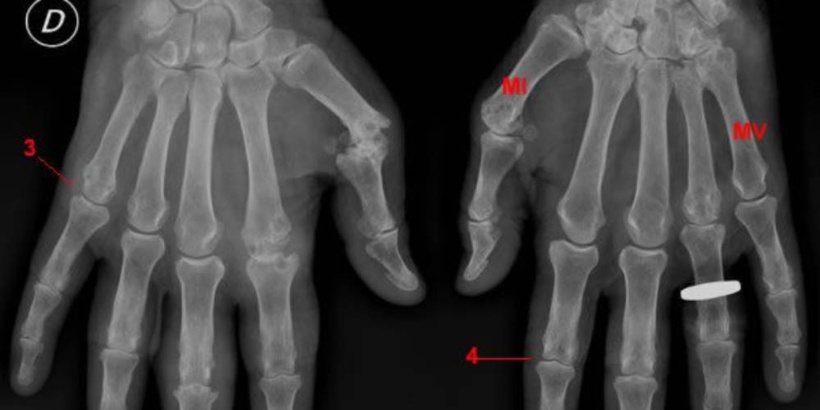
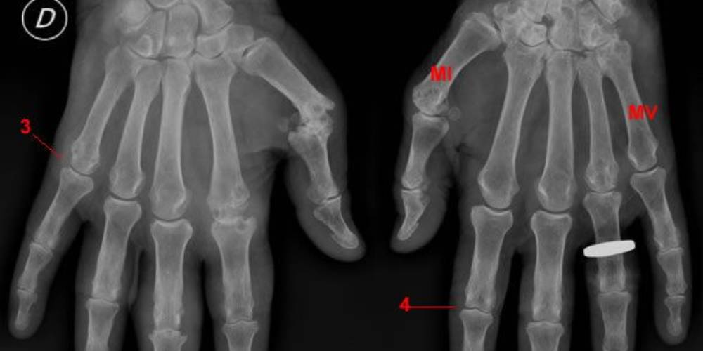
La polyarthrite rhumatoïde est la plus fréquente des diverses formes de rhumatismes inflammatoires chroniques regroupées sous l’appellation « arthrites chroniques ». Elle fait partie de ce que l’on appelle les maladies auto-immunes, maladies où l’immunité agresse le propre corps de la personne atteinte. C’est aussi une maladie de système n’atteignant pas toujours uniquement les articulations, mais aussi parfois d’autres zones du corps. Elle entraîne une inflammation de plusieurs articulations à la fois, qui gonflent, deviennent douloureuses et sont limitées dans leur amplitude de mouvement. Sans traitement, ces articulations ont tendance à se déformer progressivement au fil du temps. La polyarthrite rhumatoïde touche le plus souvent les mains, les poignets, les genoux et les petites articulations des pieds.
Avec le temps et parfois dès le début de la maladie, les épaules, les coudes, la nuque, les mâchoires, les hanches et les chevilles peuvent également être touchés. C’est dans cette optique que de nombreuses personnes atteintes de la maladie étaient présentes dans le but d’échanger et de partager ou encore de manifester leur soutien pour la réussite de cet événement. Parmi les personnes présentes nombreuses sont celles qui ont tenu à témoigner leur souffrance avec cette maladie.
Témoignages de personnes atteintes
Mbossé Mballo, une mère de famille, explique comment elle l’a vécue et continue de vivre avec.
« C’est après mon accouchement qu’on a diagnostiqué la maladie. Au début, on me calmait avec des antalgiques quand j’avais des douleurs. C’est une maladie handicapante, contraignante et très douloureuse», raconte la dame qui confie à quel point, il est difficile de devoir vivre avec la maladie.
Un témoignage confirmé par le docteur Moustapha Niass du centre hospitalier universitaire Aristide le Dantec. Ce dernier convié à prendre part à cette manifestation, en a profité pour parler de la maladie et répondre aux questions des malades par des conseils. « Il s’agit d’une maladie auto-immune qui se produit lorsque le système immunitaire du corps commence à affecter son propre corps. La polyarthrite rhumatoïde peut également toucher d’autres parties que les articulations telles que la peau, les yeux, les poumons, le cœur et les vaisseaux sanguins. Les articulations les plus souvent touchées sont les mains, les pieds, les poignets, les coudes, les genoux et les chevilles» explique le médecin de l’hôpital Dantec qui a tenu à mettre en garde les malades sur le fait de ne plus prendre les médicaments prescrits. Ceci, pour se préserver des déformations articulaires.
La randonnée qui a vu la participation des personnes atteintes de polyarthrite rhumatoïde, a permis aux participants de marcher de la mosquée de la Divinité jusqu’à la place de l’Obélisque. Dans le projet des initiateurs, la création d’un digital qui est porté par l’activiste et blogueuse Didi. Selon qui, ceci permettra de faire le premier pas vers l’objectif fixé et qui consiste à mieux faire connaitre cette maladie incurable et méconnue des Sénégalais.
Le Témoin
La polyarthrite rhumatoïde est la plus fréquente des diverses formes de rhumatismes inflammatoires chroniques regroupées sous l’appellation « arthrites chroniques ». Elle fait partie de ce que l’on appelle les maladies auto-immunes, maladies où l’immunité agresse le propre corps de la personne atteinte. C’est aussi une maladie de système n’atteignant pas toujours uniquement les articulations, mais aussi parfois d’autres zones du corps. Elle entraîne une inflammation de plusieurs articulations à la fois, qui gonflent, deviennent douloureuses et sont limitées dans leur amplitude de mouvement. Sans traitement, ces articulations ont tendance à se déformer progressivement au fil du temps. La polyarthrite rhumatoïde touche le plus souvent les mains, les poignets, les genoux et les petites articulations des pieds.
Avec le temps et parfois dès le début de la maladie, les épaules, les coudes, la nuque, les mâchoires, les hanches et les chevilles peuvent également être touchés. C’est dans cette optique que de nombreuses personnes atteintes de la maladie étaient présentes dans le but d’échanger et de partager ou encore de manifester leur soutien pour la réussite de cet événement. Parmi les personnes présentes nombreuses sont celles qui ont tenu à témoigner leur souffrance avec cette maladie.
Témoignages de personnes atteintes
Mbossé Mballo, une mère de famille, explique comment elle l’a vécue et continue de vivre avec.
« C’est après mon accouchement qu’on a diagnostiqué la maladie. Au début, on me calmait avec des antalgiques quand j’avais des douleurs. C’est une maladie handicapante, contraignante et très douloureuse», raconte la dame qui confie à quel point, il est difficile de devoir vivre avec la maladie.
Un témoignage confirmé par le docteur Moustapha Niass du centre hospitalier universitaire Aristide le Dantec. Ce dernier convié à prendre part à cette manifestation, en a profité pour parler de la maladie et répondre aux questions des malades par des conseils. « Il s’agit d’une maladie auto-immune qui se produit lorsque le système immunitaire du corps commence à affecter son propre corps. La polyarthrite rhumatoïde peut également toucher d’autres parties que les articulations telles que la peau, les yeux, les poumons, le cœur et les vaisseaux sanguins. Les articulations les plus souvent touchées sont les mains, les pieds, les poignets, les coudes, les genoux et les chevilles» explique le médecin de l’hôpital Dantec qui a tenu à mettre en garde les malades sur le fait de ne plus prendre les médicaments prescrits. Ceci, pour se préserver des déformations articulaires.
La randonnée qui a vu la participation des personnes atteintes de polyarthrite rhumatoïde, a permis aux participants de marcher de la mosquée de la Divinité jusqu’à la place de l’Obélisque. Dans le projet des initiateurs, la création d’un digital qui est porté par l’activiste et blogueuse Didi. Selon qui, ceci permettra de faire le premier pas vers l’objectif fixé et qui consiste à mieux faire connaitre cette maladie incurable et méconnue des Sénégalais.
Le Témoin
Autres articles
-
Djilor Saloum : le Jaraaf Diatta Sarr retrouvé mort après plusieurs semaines de recherches
-
Innovation africaine : Qualcomm accompagne dix startups et relance « Make in Africa » en 2026
-
Mort d'Abdoulaye Diop en France : son père accuse des « discours politiques irresponsables » et interpelle l’État
-
Kédougou : des éboulements sur des sites d’orpaillage font 9 morts
-
Santé sexuelle et reproductive à Kolda : un accès encore difficile pour les femmes et filles handicapées





Djilor Saloum : le Jaraaf Diatta Sarr retrouvé mort après plusieurs semaines de recherches


