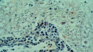
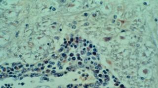
La listériose, maladie infectieuse due à la bactérie Listeria, se transmet le plus souvent à l'homme par l'intermédiaire d'aliments contaminés.
Pour tenter de trouver la source des ces contaminations, le ministère de la santé continue d'examiner des échantillons de nourriture prélevés au domicile des malades.
La population est appelée à respecter des règles d'hygiène strictes, comme le lavage régulier des mains, le recours à l'eau potable pour les usages domestiques, le rinçage des légumes et des fruits ou encore la cuisson à feu vif des viandes.
727 cas confirmés en un an
Un total de 727 cas de listériose ont été confirmés depuis janvier 2017, selon le ministre sud-africain de la Santé, Aaron Motsoaledi.
La listériose provoque généralement de la fièvre, des vomissements et des diarrhées et se traite par antibiotiques.
Les sujets sensibles, comme les personnes âgées, les nouveaux-nés, les femmes enceintes ou les patients au système immunitaire affaibli sont plus exposés aux complications. La majorité des personnes infectées ont été répertoriées dans la province du Gauteng (nord-est), dont la capitale est Johannesburg.
-
Burkina Faso: l'ex-Premier ministre Albert Ouedraogo arrêté à son domicile la semaine dernière
-
Niger: la junte accuse la France, le Bénin et la Côte d'Ivoire après l'attaque de l'aéroport de Niamey
-
Mali: l'Uemoa reconnaît l'illégalité des sanctions imposées en 2022, une victoire pour la Transition
-
Côte d'Ivoire: le Conseil du Café Cacao à la rescousse de la filière cacao
-
Mali : la Cour de l’UEMOA annule les sanctions de 2022 et donne raison aux autorités de transition




Burkina Faso: l'ex-Premier ministre Albert Ouedraogo arrêté à son domicile la semaine dernière


