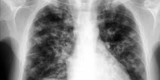
Seize (16) cas de tuberculose ont recensés dans la banlieue dakaroise, a révélé vendredi Adama Niang de l'Association de lutte contre cette maladie, lors du lancement d'une campagne de lutte, précisant que le quartiers Pikine, Guediawaye, Keur Massar, sont les plus touchés par cette pathologie.
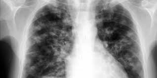
Les agents de santé vont visiter les lieux de travail pour sensibiliser les hommes, car durant les visites à domiciles, ils ne trouvaient que des femmes dans les maisons, ce qui font d'elles les mieux sensibiliser sur la pathologie.
Les agents de santé vont visiter les lieux de travail pour sensibiliser les hommes, car durant les visites à domiciles, ils ne trouvaient que des femmes dans les maisons, ce qui font d'elles les mieux sensibiliser sur la pathologie.
Autres articles
-
Ordre national du Lion et du Mérite : le Président Diomaye décore les femmes et hommes aux "parcours exemplaires"
-
Sit-in des marchands ambulants: le collectif réclame des solutions de recasement durables face aux déguerpissements
-
Kolda : une convoyeuse déférée après la saisie de psychotropes et de 2 kg de chanvre indien
-
Affaire Aziz Dabala : Tarba Mbaye auditionné puis libéré, le chanteur attendu à nouveau à la DIC
-
Retrait de Netflix de ses offres : le CNRA accorde une prolongation à Canal+Sénégal




Ordre national du Lion et du Mérite : le Président Diomaye décore les femmes et hommes aux "parcours exemplaires"


