Connectez-vous S'inscrire
PRESSAFRIK.COM , L'info dans toute sa diversité (Liberté - Professionnalisme - Crédibilité)
Société

Pour les 55 millions de Marième Fall Sall, les malades d’Insuffisance rénale se disputent

L'enveloppe de 55 millions Fancs Cfa offerte par la Première Dame Mariéme Faye Sall divise l’Association sénégalaise des Hémodialysés et insuffisants rénaux (Ashir). Deux camps s’affrontent à propos de l’utilisation qui doit être faite de l'argent, renseigne L'AS.  Il s'agit du camp du secrétaire général de...

Ahmed Kalifa Niass sur les 20 millions de "Diakhal" du Président Macky : " Sidy Lamine ne les aurait pas pris"

Encore de révélations troublantes sur les 20 millions remis par Macky Sall à la famille du défunt Sidy Lamine Niasse. Et c'est Ahmed Khalifa Niasse qui en fait. Invité dans l’émission « Tout est là », le frère de Sidy Lamine a déclaré que si Sidy était vivant il n'allait pas accepter cet argent", avant d'ajouter les enfants du...

Après 20 jours de gréve de faim, les 16 "Thiantakones" réclament la tenue de leur procès avec Cheikh Bethio Thioune ou la mort.

Les 16 "Thiantakones" qui croupissent en prison depuis plus de 6 ans à la prison de Thiès sont à leur 20 jours de gréve de faim. Ils réclament la tenue de leur procès avec Cheikh Béthio Thioune ou la mort.  Interpellé par le parlement, lors du vote de son budget,  le ministre de la Justice Ismaila Madior Fall...

Salimata Diaw risque 5 ans de prison pour avoir charcuté sa co-épouse : sa version des faits...

"Je regrette", a déclaré Salimata Diaw vendredi dans la salle archicomble du tribunal de Grande instance de Pikine,  où a été enrôlée cette affaire de coups et blessures volontaires. Elle a révélé les raisons qui l'ont poussé à asséner à sa coépouse Oumou Diop des coups de machette, ayant entraîné une incapacité de travail...

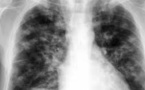
Tuberculose: 16 cas recensés dans la banlieue de Dakar

Seize (16) cas de tuberculose ont recensés dans la banlieue dakaroise, a révélé vendredi Adama Niang de l'Association de lutte contre cette maladie, lors du lancement d'une campagne de lutte, précisant que le quartiers Pikine, Guediawaye, Keur Massar, sont les plus touchés par cette pathologie. Les agents de santé vont...