L’Organisation mondiale de la santé (Oms) estime que 1,4 million de personnes de moins ont reçu les soins nécessaires pour la tuberculose au cours de l'année 2020 par rapport à l'année précédente, en raison de la Covid-19.
« La perturbation des services essentiels pour les personnes atteintes de tuberculose n'est qu'un exemple tragique de la façon dont la pandémie affecte de manière disproportionnée certaines des personnes les plus pauvres du monde, qui étaient déjà plus exposées au risque de tuberculose », a déclaré le docteur Tedros Adhanom Ghebreyesus, directeur général de l'Oms.
« Ces données qui donnent à réfléchir montrent que les pays doivent faire de la couverture sanitaire universelle une priorité essentielle lorsqu'ils réagissent à la pandémie et s'en relèvent, afin de garantir l'accès aux services essentiels pour la tuberculose et toutes les maladies », a-t-il ajouté.
Les dernières données de l'Oms provenant de plus de 80 pays, ont montré une réduction des traitements de 21 % au cours de la première année de la pandémie, par rapport à 2019. Les écarts les plus importants ont été enregistrés en Indonésie (baisse de 42 %), en Afrique du Sud (41 %), aux Philippines (37 %) et en Inde (25 %). La tuberculose reste l'une des maladies infectieuses les plus meurtrières au monde. Chaque jour, près de 4 000 personnes meurent de la tuberculose et près de 28 000 personnes tombent malades à cause de cette maladie évitable et curable. Les efforts mondiaux de lutte contre la tuberculose ont permis de sauver près de 63 millions de vies depuis le début du siècle.
L'Oms a souligné que certains pays ont déjà pris des mesures pour contourner l'impact du nouveau coronavirus sur la prestation des services de lutte contre la tuberculose.
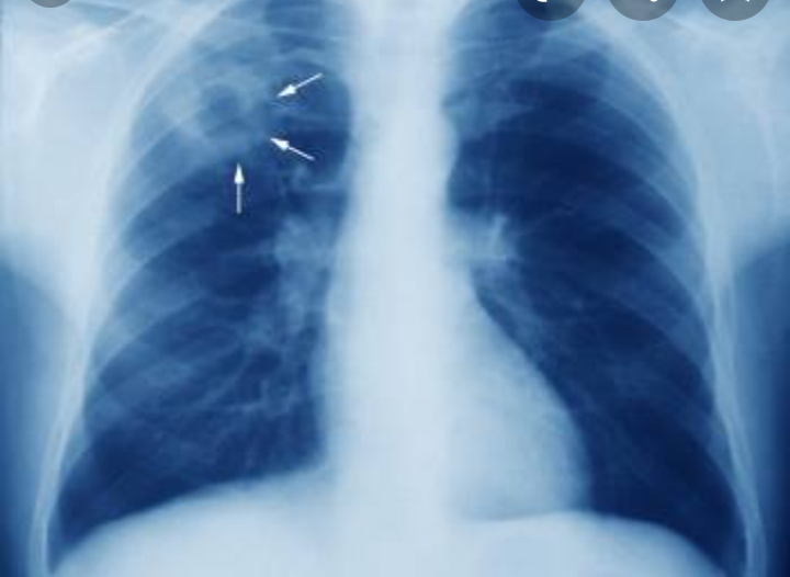
Parmi les politiques qui ont porté leurs fruits, citons le développement de l'utilisation de technologies numériques telles que le diagnostic assisté par ordinateur pour les radiographies pulmonaires - particulièrement utile dans les pays qui ne disposent pas d'un nombre suffisant de radiographes qualifiés - ainsi que la fourniture de conseils et d'un soutien à distance et la mise en place de services de prévention et de traitement de la tuberculose à domicile.
« La perturbation des services essentiels pour les personnes atteintes de tuberculose n'est qu'un exemple tragique de la façon dont la pandémie affecte de manière disproportionnée certaines des personnes les plus pauvres du monde, qui étaient déjà plus exposées au risque de tuberculose », a déclaré le docteur Tedros Adhanom Ghebreyesus, directeur général de l'Oms.
« Ces données qui donnent à réfléchir montrent que les pays doivent faire de la couverture sanitaire universelle une priorité essentielle lorsqu'ils réagissent à la pandémie et s'en relèvent, afin de garantir l'accès aux services essentiels pour la tuberculose et toutes les maladies », a-t-il ajouté.
Les dernières données de l'Oms provenant de plus de 80 pays, ont montré une réduction des traitements de 21 % au cours de la première année de la pandémie, par rapport à 2019. Les écarts les plus importants ont été enregistrés en Indonésie (baisse de 42 %), en Afrique du Sud (41 %), aux Philippines (37 %) et en Inde (25 %). La tuberculose reste l'une des maladies infectieuses les plus meurtrières au monde. Chaque jour, près de 4 000 personnes meurent de la tuberculose et près de 28 000 personnes tombent malades à cause de cette maladie évitable et curable. Les efforts mondiaux de lutte contre la tuberculose ont permis de sauver près de 63 millions de vies depuis le début du siècle.
L'Oms a souligné que certains pays ont déjà pris des mesures pour contourner l'impact du nouveau coronavirus sur la prestation des services de lutte contre la tuberculose.
Parmi les politiques qui ont porté leurs fruits, citons le développement de l'utilisation de technologies numériques telles que le diagnostic assisté par ordinateur pour les radiographies pulmonaires - particulièrement utile dans les pays qui ne disposent pas d'un nombre suffisant de radiographes qualifiés - ainsi que la fourniture de conseils et d'un soutien à distance et la mise en place de services de prévention et de traitement de la tuberculose à domicile.
Autres articles
-
Crise énergétique mondiale : Le trio AIE-FMI-Banque mondiale redoute une onde de choc « asymétrique »
-
JOJ Dakar 2026 : Le Sénégal renforce son dispositif juridique sur la propriété intellectuelle
-
Secteur privé : Le Sénégal mise sur la SNDSPI pour booster la croissance endogène
-
10e congrès UDEN : Papa Abdoulaye Diallo élu nouveau secrétaire général
-
Pénurie d'eau à Ranérou : Les populations de Houdallaye alertent sur la perte de leur bétail




Crise énergétique mondiale : Le trio AIE-FMI-Banque mondiale redoute une onde de choc « asymétrique »


